We innovate to make your smile shine
New complete oral reconstruction of dental implants with final teeth in Zirconia
What is TeethWOW?
After years of research we have developed TeethWOW, the complete oral rehabilitation on implants with a fixed prosthesis finished in last generation Zirconia.
Resistant
Our R&D department has developed an evolved Zirconium fixed prosthesis, a 100% Biocompatible and highly resistant material.
100% Digital
Our workflow is 100% digital, from impression taking to treatment execution.
Fast
We control the entire process, from the design to the final prosthesis, which allows us to provide our patients with teeth in 24 hours.
INVEST IN QUALITY OF LIFE
Your fixed teeth in 24h
Free first consultation
Virtual surgical treatment planning
A more comfortable and less painful postoperative
First consultation is free with no commitment
Multidisciplinary team led by doctors Crooke & Laguna
EXPERIENCE A DIFFERENT DENTAL TREATMENT
Who are we?
At Crooke dental clinics group we are experts in complete oral reconstructions, we have developed TeethWOW and through this treatment we will help you recover your smile easily and comfortably.
Mission
Our purpose is to restore our patient’s smile and dental health using the latest advances.
Vision
Our goal is to be pioneers in Spain in terms of 100% digital flow within dentistry.
Pioneers
We are pioneers in guided and navigated surgery in Europe.
Vision
Our goal is to be pioneers in Spain in terms of 100% digital flow within dentistry.
Values
We believe that constant technological innovation is essential that allows us to improve day by day.
“We consider that the success of TeethWOW is to have achieved the total digitization in the treatment and the final smile in Zirconia”
- DOCTORS OF CROOKE & LAGUNA
“We consider that the success of TeethWOW is to have achieved the total digitization in the treatment and the final smile in Zirconia”
– DOCTORS OF CROOKE & LAGUNA
OUR RESULTS
What do they say about us?
We always do our best for our patients to have an outstanding experience in our clinic, we hope you enjoy these testimonials as much as we do.
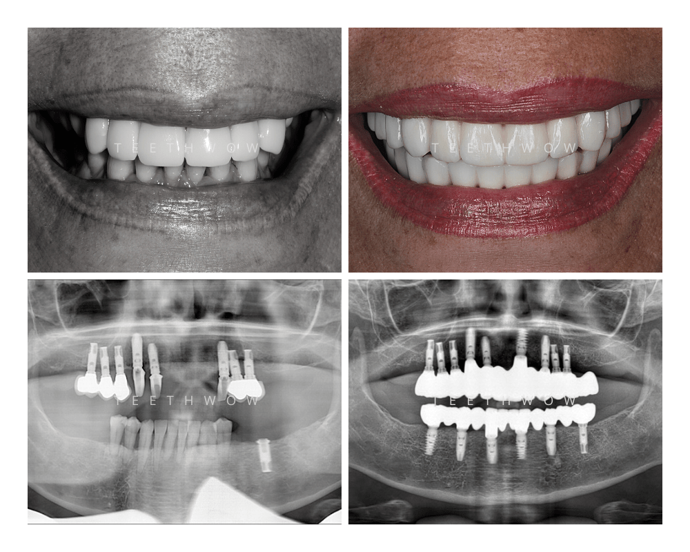
Before and After Cases
Contact
Your email address will not be published. Required fields are marked with *
- Responsible for your data: CONOR ESPAÑA SERVICIOS PROFESIONALES, S.L.P.
- Purpose: sending my publications, responses, as well as commercial emails.
- Legitimation: it is thanks to your consent.
- Recipients: CONOR ESPAÑA SERVICIOS PROFESIONALES, S.L.P. No data will be passed on to third parties, unless legally obliged to do so.
- Your Rights: Access, Rectification, Limitation, Opposition, Portability or Delete your data in info@teethwow.com
- Additional information: You can consult the additional and detailed information about the Privacy Policy in the following link.
